Arthritis of the Shoulder



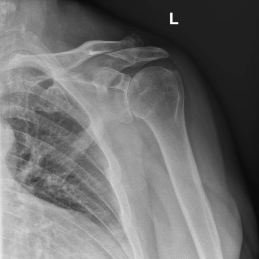
Arthritis of the shoulder is a condition where the smooth protective cartilage coverings on the ends of the bones making up the shoulder joint have worn away. Arthritis of the shoulder is less common than arthritis affecting the hip or knee. However the symptoms can be very disabling and can affect the function of the whole arm as well as causing severe pain.
Symptoms of arthritis of the shoulder
The symptoms are of worsening pain. Pain is often felt at night when trying to sleep as well as when the shoulder is moving. Stiffness and reduction in the amount the shoulder can move, often affecting ability to use the shoulder usefully worsens over time. If you think you have shoulder arthritis, book an appointment at the Cheshire Shoulder and Elbow Clinic for a comprehensive assessment of your shoulder.
Treatment of arthritis of the shoulder
Treatment without surgery should always be the first consideration as this is often very effective in controlling symptoms. This consists of pain killing tablets, anti-inflammatory medications, physiotherapy and an anti-inflammatory steroid injection into the joint.
When should surgery and shoulder replacement be considered?
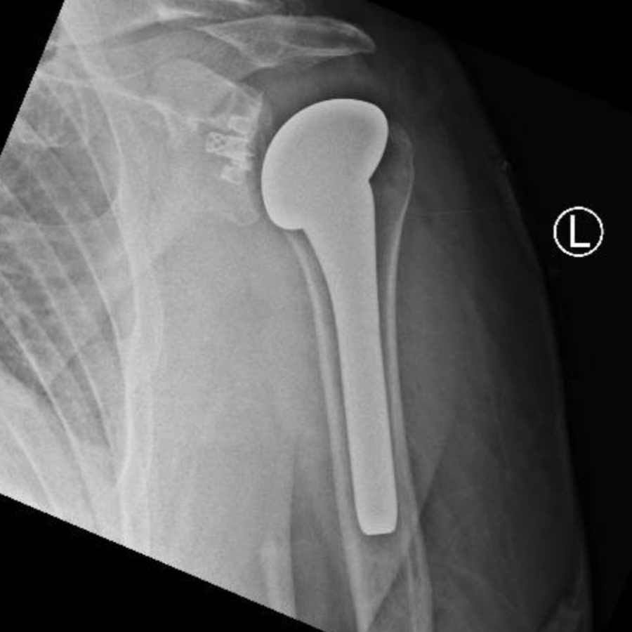
Surgery is considered when other treatments are no longer effective in controlling your symptoms. Shoulder joint replacement is a very effective treatment for shoulder arthritis. The operation removes the arthritic joint surfaces and replaces them with a combination of metal and plastic surfaces. This operation is extremely successful in controlling pain and improving function of the shoulder and the whole arm. If you are being treated for shoulder arthritis and would like to find out more about shoulder replacements, or if your current treatments are not working, please book an appointment at The Cheshire Shoulder and Elbow Clinic.
Want to discuss your shoulder condition with a Shoulder Specialist? Call us now or book an appointment at The Cheshire Shoulder and Elbow Clinic.
