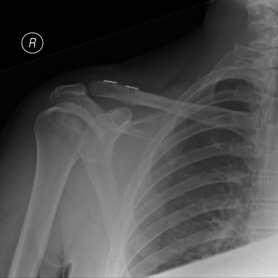
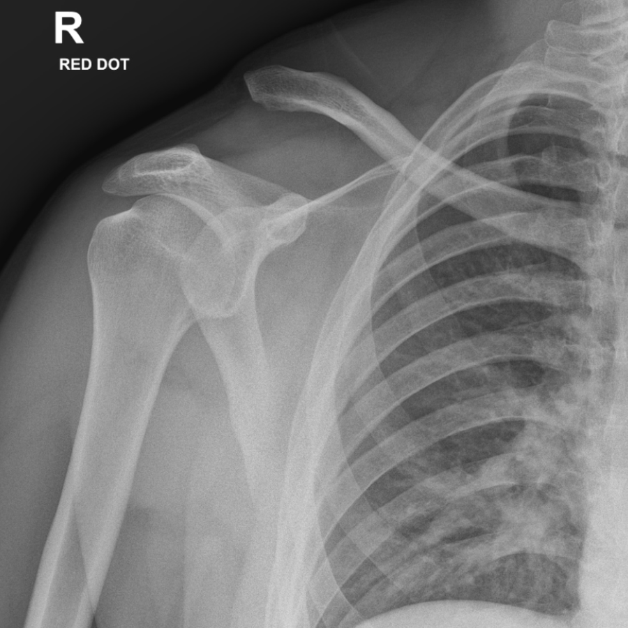
Acromioclavicular Joint Injuries
The acromioclavicular joint is a small joint between the outer end of the collar bone (clavicle) and the top of the shoulder blade (scapula). The joint is commonly injured by a fall on to the point of the shoulder. This can destabilise the joint and tear the ligaments which hold the joint in place. This allows the outer end of the collar bone to become prominent beneath the skin which can be seen and felt as a step or bump.
Symptoms of acromioclavicular joint injuries
Injuries to the acromioclavicular joint cause pain over the point of the shoulder and the arm feels unsupported. You will experience a loss of shoulder movement and prominence of the outer end of the clavicle. If you feel that you have sustained this injury book an appointment with the Cheshire Shoulder and Elbow Clinic for a full assessment of your injuries.
Treatment of acromioclavicular joint injuries
Mild degrees of damage to the joint are managed simply by resting the arm in a sling for several weeks, and taking analgesia and anti-inflammatory medication. Over the counter pain killers and icing the injured area are useful in managing the pain in the first few days after injury. Physiotherapy may be helpful if shoulder movement is impaired. Pain from the injury usually settles in 2-3 weeks but a prominence of the outer end of the collar bone often remains but normally does not cause any problem. If your symptoms are not settling or are severe, book into the Cheshire Shoulder and Elbow Clinic for help and advice.
When should surgery be considered for an acromioclavicular joint injury?
Treatment with surgery is considered for more severe injuries to the joint and in patients with physically demanding occupations or who are keen sportsmen or women. The damaged ligaments can be reconstructed soon after the injury and the clavicle held back in place using a specially designed suture that holds the clavicle in place.
Late reconstruction of the ligament is also successful by replacing the damaged ligaments with a synthetic graft. Most patients undergoing this procedure can return to normal sporting activities including overhead sports.
The Cheshire Shoulder Clinic can help you understand what you have injured, the best treatment for your individual problem and the expected course of recovery.
